Cellular changes as lung damage worsens in COVID-19 revealed

10 mar 2025 · 9 min. 31 sec.
Cellular changes as lung damage worsens in COVID-19 revealed
Descrizione

Researchers uncover cellular changes as damage to alveoli in the lungs progresses during COVID-19.  Changes in the cellular response during lung damage caused by SARS-CoV-2 – the virus behind COVID-19...

mostra di più
Researchers uncover cellular changes as damage to alveoli in the lungs progresses during COVID-19. 

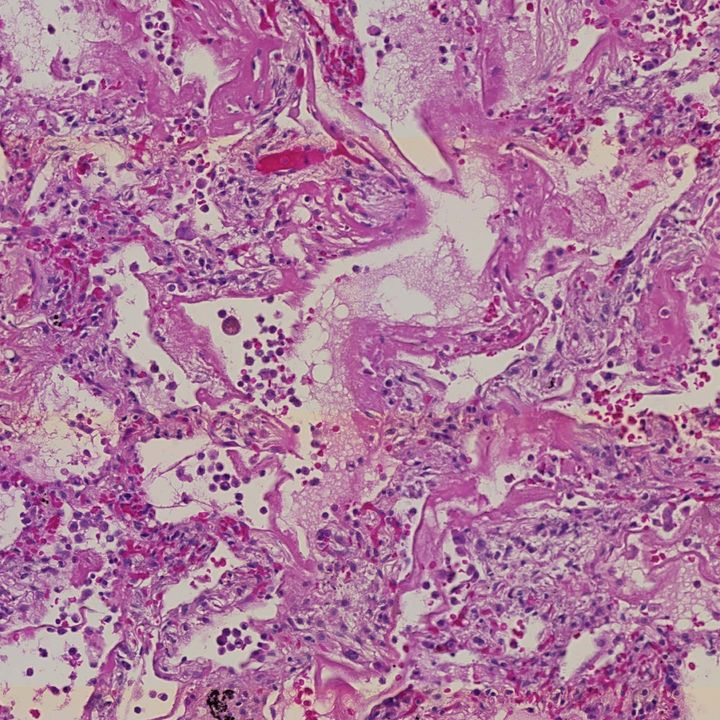
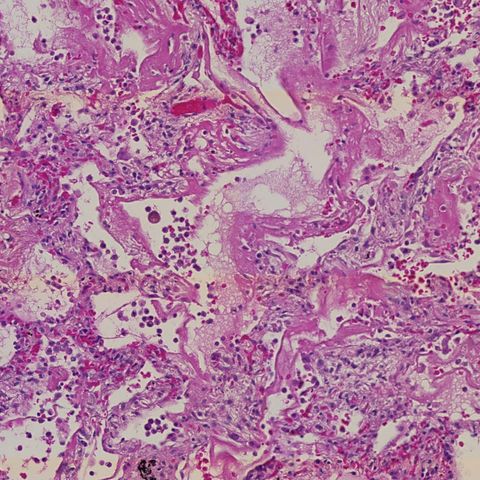
Changes in the cellular response during lung damage caused by SARS-CoV-2 – the virus behind COVID-19 – have been uncovered. Researchers reveal distinct phases where waves of immune responses give way to lung fibrosis – scarring of the lungs – in severe COVID-19.

As part of the UK Coronavirus Immunology Consortium (UK-CIC), researchers from the Wellcome Sanger Institute, Imperial College London, Newcastle University and Harvard University used a combination of cell mapping technologies to build a comprehensive understanding of the cellular response and lung tissue changes instigated during COVID-19. 
mostra meno
Informazioni
Autore Wellcome Sanger Institute
Organizzazione Wellcome Sanger Institute
Sito -
Tag

Sembra che non tu non abbia alcun episodio attivo

Sfoglia il catalogo di Spreaker per scoprire nuovi contenuti

Corrente

Copertina del podcast

Sembra che non ci sia nessun episodio nella tua coda

Sfoglia il catalogo di Spreaker per scoprire nuovi contenuti

Successivo

Copertina dell'episodio Copertina dell'episodio

Che silenzio che c’è...

È tempo di scoprire nuovi episodi!

Scopri
La tua Libreria
Cerca